Cálculos Hemodinâmicos

Método Doppler (VSVE × VTI × FC)

📷 Técnica Correta de Aferição - Cálculos Hemodinâmicos

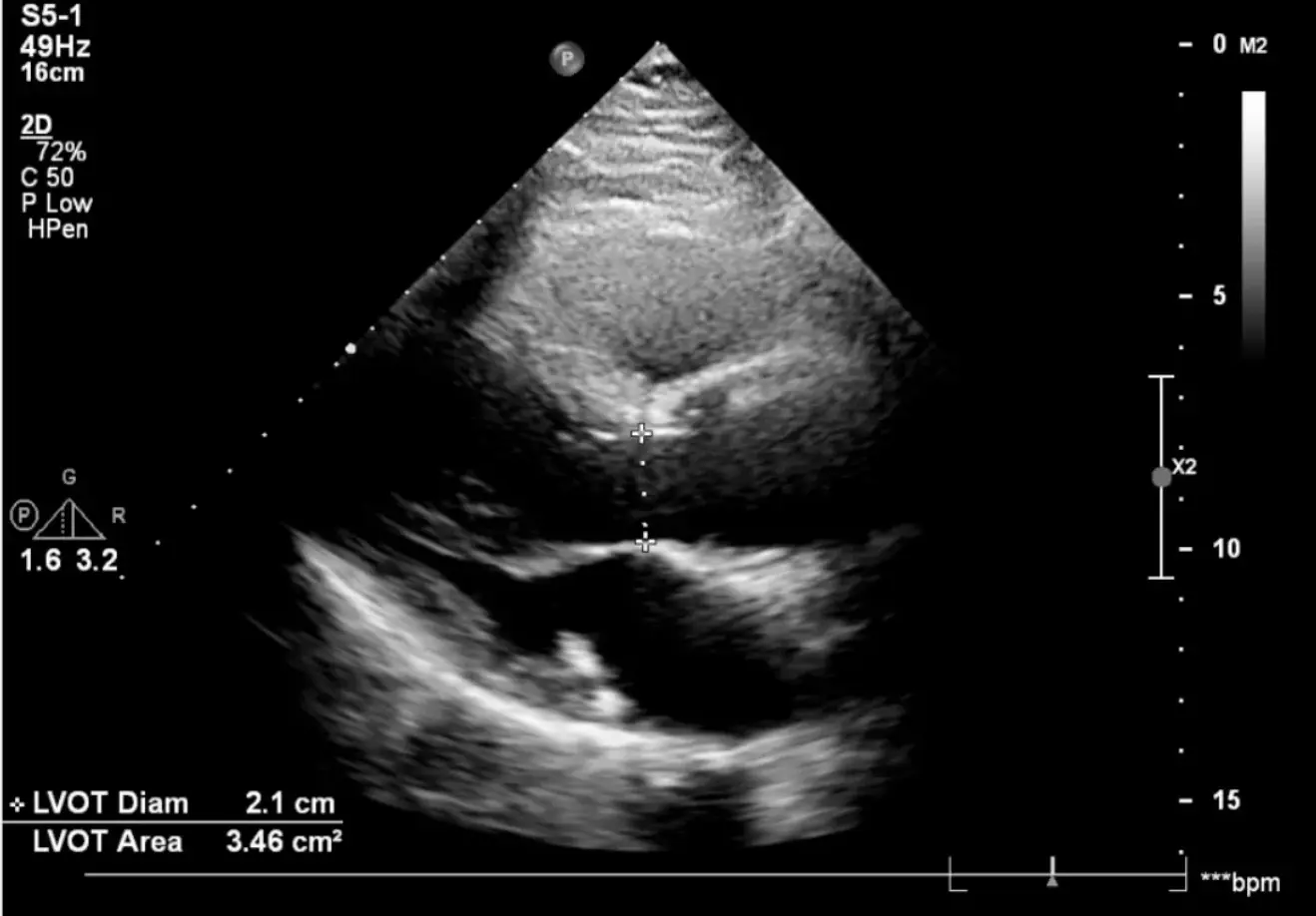
📐 Medida do Diâmetro da VSVE
Diâmetro da VSVE
🔍 Clique para ampliar
  • Janela: Paraesternal longitudinal com ZOOM na região da válvula aórtica
  • Momento: Medir em mesossístole (abertura máxima dos folhetos aórticos)
  • Local: Imediatamente abaixo (proximal) da inserção dos folhetos aórticos, na via de saída do VE
  • Técnica: Medir de borda interna a borda interna (inner edge to inner edge)
  • Valores normais: 1.8 - 2.4 cm (pode variar com biotipo)
⚠️ ATENÇÃO: Esta é a medida mais crítica! O diâmetro é elevado ao quadrado no cálculo da área. Erro de 1-2mm pode gerar variação significativa no Volume Sistólico e Débito Cardíaco.
💡 Dica: Use sempre ZOOM e otimize o ganho. Faça a média de 3 medidas para maior precisão. Em pacientes obesos, considere o transesofágico.
📈 Medida do VTI da VSVE (Doppler Pulsado)
VTI da VSVE
🔍 Clique para ampliar
  • Janela: Apical 5 câmaras (ou apical 3 câmaras como alternativa)
  • Doppler: Posicionar o Doppler Pulsado (PW) no mesmo local onde mediu o diâmetro
  • Volume amostra: Posicionar 0.5-1.0 cm proximal (abaixo) da válvula aórtica, dentro da VSVE
  • Alinhamento: Alinhar o feixe de Doppler paralelo ao fluxo (ângulo <20°)
  • Traçado: Traçar a borda externa (modal velocity) do envelope espectral
  • Valores normais: 18 - 22 cm
💡 Dica: Use filtro baixo e ganho otimizado para visualizar bem o envelope. A velocidade máxima normal é <1.0 m/s. Se houver turbulência ou aliasing, reposicione a amostra mais proximalmente.
📊 Média: Em pacientes com arritmia (FA), faça a média de 5-10 batimentos consecutivos para maior acurácia.

✅ Checklist de Qualidade da Aquisição

☑️ Diâmetro medido com ZOOM em paraesternal

☑️ Medida em mesossístole (folhetos abertos)

☑️ Borda interna a borda interna

☑️ VTI no mesmo local do diâmetro

☑️ Ângulo de Doppler <20°

☑️ Traçado da borda externa do envelope

☑️ Sem aliasing no traçado do PW

☑️ Média de 3+ medidas (FA: 5-10)

☑️ Resultados compatíveis com clínica

📖 Base Teórica e Valores de Referência

Fórmulas

Área VSVE:

π × (D/2)²

Volume Sistólico:

Área × VTI

VS Indexado:

VS / SC

Débito Cardíaco:

(VS × FC) / 1000

Índice Cardíaco:

DC / SC

Valores de Referência (Hemodinâmica / UTI)

Parâmetros baseados na fisiologia hemodinâmica de repouso e alvos terapêuticos de medicina intensiva.

Volume Sistólico: 50 - 100 mL

VS Indexado: 33 - 47 mL/m² ⚡ UTI

Débito Cardíaco: 4.0 - 8.0 L/min

Índice Cardíaco: 2.5 - 4.0 L/min/m²

VTI VSVE: 18 - 22 cm

Diâmetro VSVE: 1.8 - 2.4 cm

Interpretação Clínica

VS/VSi Baixo: Disfunção sistólica, regurgitações valvares importantes, hipovolemia.

DC/IC Baixo: Insuficiência cardíaca, choque cardiogênico, hipovolemia, disfunção sistólica.

DC/IC Alto: Estados hiperdinâmicos (sepse, anemia, hipertireoidismo, febre, ansiedade).

Dicas Técnicas

⚠️ A medida do diâmetro da VSVE é a maior fonte de erro, pois o valor é elevado ao quadrado.

💡 Use ZOOM no paraesternal longitudinal e meça logo abaixo da inserção dos folhetos aórticos (sístole precoce).

📚 Referências Bibliográficas

🏥 Hemodinâmica e Medicina Intensiva

1. Marino PL. The ICU Book. 4th ed. Philadelphia: Wolters Kluwer Health/Lippincott Williams & Wilkins; 2014. 📖 Seção: Hemodynamic Monitoring / Oxygen Transport. Define o índice de volume sistólico normal em repouso entre 33 e 47 mL/m² (alvos terapêuticos de UTI).

2. Edwards Lifesciences. Normal Hemodynamic Parameters - Quick Guide. Baseado em: Grossman W. Cardiac Catheterization and Angiography. 💉 Padrão de monitorização invasiva (cateter de Swan-Ganz) para alvos de ressuscitação volêmica e inotrópica.

🫀 Ecocardiografia e Diretrizes Gerais

3. Lang RM, Badano LP, Mor-Avi V, et al. Recommendations for cardiac chamber quantification by echocardiography in adults: an update from the American Society of Echocardiography and the European Association of Cardiovascular Imaging. J Am Soc Echocardiogr. 2015;28(1):1-39.

4. Nagueh SF, Smiseth OA, Appleton CP, et al. Recommendations for the Evaluation of Left Ventricular Diastolic Function by Echocardiography: An Update from the American Society of Echocardiography and the European Association of Cardiovascular Imaging. J Am Soc Echocardiogr. 2016;29(4):277-314.

5. Evangelista A, Flachskampf FA, Erbel R, et al. Echocardiography in aortic diseases: EAE recommendations for clinical practice. Eur J Echocardiogr. 2010;11(8):645-658.

6. Otto CM, Nishimura RA, Bonow RO, et al. 2020 ACC/AHA Guideline for the Management of Patients With Valvular Heart Disease. Circulation. 2021;143(5):e72-e227.

7. Feigenbaum H, Mastouri R, Sawada S. A practical approach to using strain echocardiography to evaluate the left ventricle. Circ J. 2012;76(7):1550-1555.

8. Zoghbi WA, Adams D, Bonow RO, et al. Recommendations for Noninvasive Evaluation of Native Valvular Regurgitation. J Am Soc Echocardiogr. 2017;30(4):303-371.

💡 Parâmetros hemodinâmicos baseados em Marino (The ICU Book, 2014) e diretrizes ASE/EACVI. Adequado para avaliação à beira-leito, POCUS e manejo de choque.

🩺 Parâmetros Ecocardiográficos

Paraesternal longitudinal (zoom)
cm
Doppler Pulsado (apical 5 câmaras)
cm
ECG ou traçado Doppler
bpm
Para cálculo do Índice Cardíaco

📊 Resultados Hemodinâmicos

Volume Sistólico (Stroke Volume)
--
mL
Ref: 50 - 100 mL
VS Indexado (SVi)
--
mL/m²
Ref: 33 - 47 mL/m²
Débito Cardíaco
--
L/min
Ref: 4.0 - 8.0 L/min
Índice Cardíaco
--
L/min/m²
Ref: 2.5 - 4.0 L/min/m²