Ventrículo Direito - Diretrizes ASE 2025

🔍
Filtrar por:
Exibindo 8 de 8 cards
Estimativa da Pressão Atrial Direita (PAD)
Cenário da VCI PAD Estimada
VCI ≤ 2,1 cm e Colapso > 50% 3 mmHg (0-5)
VCI > 2,1 cm e Colapso < 50% 15 mmHg (10-20)
Cenários Discordantes:
VCI ≤ 2,1 cm c/ Colapso < 50%
OU
VCI > 2,1 cm c/ Colapso > 50%
8 mmHg (Intermediária)*
VCI > 2,5 cm sem colapso (fixa) ≥ 20 mmHg
*Como refinar a PAD Intermediária (8 mmHg):
Se houver sinais secundários (Fluxo sistólico da veia hepática < diastólico, E/e' tricúspide > 6, ou AD muito dilatado), considere subir para 15 mmHg.
Caso contrário, mantenha em 8 mmHg.
Volume do Átrio Direito Indexado (RAVi)
Método de Simpson Monoplanar (Discos)
Classificação mL/m²
Normal < 30
Aumento Leve 30 – 36
Aumento Moderado 37 – 41
Aumento Importante > 41
Atenção: A diretriz prioriza o Volume Indexado (RAVi) ou a Área 2D sobre as medidas lineares simples.
Dados Estatísticos Normais (Média ± DP)
Parâmetro Média ± DP Faixa de normalidade
Diâmetro basal do VD A4C (mm) 33 ± 4 25-41
Diâmetro porção média do VD A4C (mm) 27 ± 4 19-35
Diâmetro longitudinal do VD (A4C) (mm) 71 ± 6 59-83
Diâmetro proximal da VSVD (PEL) (mm) 25 ± 2,5 20-30
Diâmetro proximal da VSVD (PEC) (mm) 28 ± 3,5 21-35
Diâmetro distal da VSVD (PEC) (mm) 22 ± 2,5 17-27
Espessura de parede do VD (mm) 3 ± 1 1 a 5
Estes valores representam médias populacionais. Para classificação clínica de dilatação ou hipertrofia, consulte a tabela de gravidade abaixo.
Classificação de Gravidade (ASE 2025)
Dimensões e Função do Ventrículo Direito
Parâmetro Leve Moderada Importante
Dimensões
Diâmetro Basal VD (cm) 4,1 – 4,4 4,5 – 4,9 ≥ 5,0
Espessura Parede VD (cm) 0,5 – 0,7 > 0,7 – 0,9 > 0,9
Diâmetro Tronco Pulmonar (cm) 2,5 – 2,9 3,0 – 3,4 ≥ 3,5
Área do AD (cm²) 19 – 22 23 – 24 ≥ 25
Função Sistólica
TAPSE (mm) ≤ 17 a > 13 ≤ 13 a > 10 ≤ 10
Onda S' (cm/s) ≤ 9,5 a > 7,2 ≤ 7,2 a > 5,0 ≤ 5,0
FAC (%) 30 – 35 23 – 29 ≤ 22
Strain Parede Livre VD (%) -20 a -15 -15 a -11 > -11
Fonte: Rudski LG, et al. Guidelines for the Echocardiographic Assessment of the Right Heart in Adults: An Update from the American Society of Echocardiography. J Am Soc Echocardiogr. 2025.
Hemodinâmica Pulmonar e Doppler da VSVD
Sinais Indiretos de Aumento da Resistência Vascular
Parâmetro Normal Sugestivo de HP / RVP Elevada
VTI da VSVD > 18 cm < 18 cm (Débito Cardíaco Reduzido)
Tempo de Aceleração (AcT) > 105 ms < 105 ms (Sinal de RVP Aumentada)
Morfologia do Fluxo Parabólico (Simétrico) Triangular ou com "Entalhe Mesossistólico"
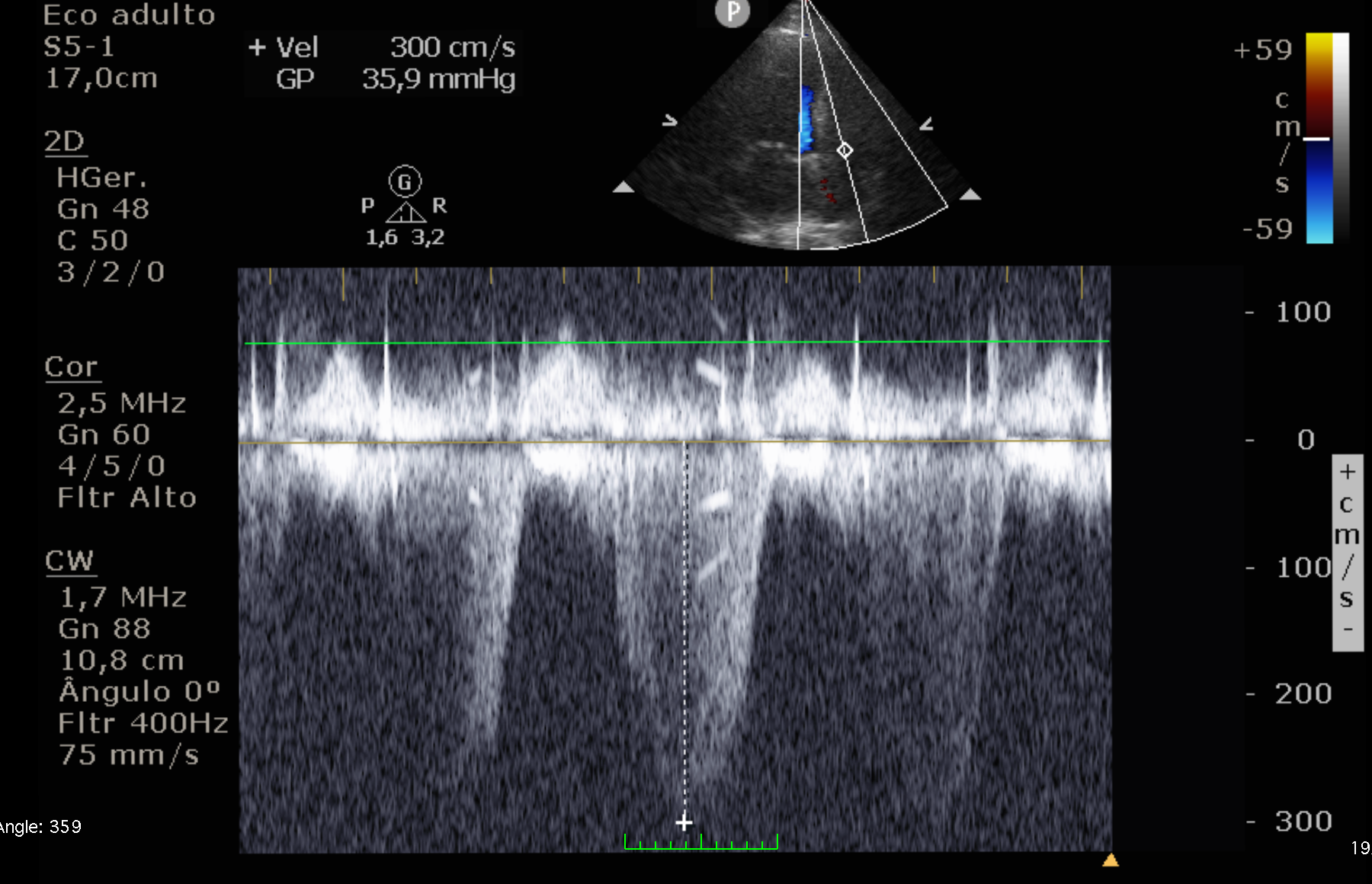
Velocidade Regurgitação Tricúspide (VRT) ≤ 2,8 m/s > 2,8 m/s (Probabilidade Intermediária)
> 3,4 m/s (Alta Probabilidade)
Pressão Média da Artéria Pulmonar (PMAP)* < 20 mmHg > 20 mmHg
*Nota importante (ASE 2025): A definição de Hipertensão Pulmonar mudou o corte de PMAP de ≥25 para >20 mmHg.
AcT < 60ms sugere Hipertensão Pulmonar grave ou Embolia Pulmonar Aguda (Sinal 60/60).
Entalhe Mesossistólico (Notching): A desaceleração súbita no meio da sístole indica alta resistência vascular pulmonar e reflexão de ondas.
Acoplamento VD-Artéria Pulmonar (Prognóstico)

A relação TAPSE/PASP é um índice não invasivo simplificado de acoplamento ventrículo-arterial. Ele avalia se a contratilidade do VD é suficiente para vencer a pós-carga.

🧮 Calculadora de Acoplamento VD

≥ 0,50 mm/mmHg
Normal (Acoplamento Preservado)
0,36 – 0,50 mm/mmHg
Zona Intermediária (Monitorar)
0,19 – 0,36 mm/mmHg
Desacoplamento VD (Sugere HP)
< 0,19 mm/mmHg
Desacoplamento Grave (Mortalidade > 20%/ano)
Significado Clínico: O acoplamento VD-AP reflete a capacidade do VD de adaptar sua contratilidade à pós-carga. O desacoplamento indica que o VD não consegue mais compensar o aumento da resistência vascular pulmonar, sendo um marcador prognóstico independente em hipertensão pulmonar e insuficiência cardíaca.
Parâmetros Avançados (ASE 2025)
Função Diastólica do VD e Eco 3D
Parâmetro Normal Alteração do Relaxamento Pseudonormal Restritivo
Relação E/A (Tricúspide) 0,8 - 2,0 < 0,8 0,8 - 2,1 > 2,1
Tempo de Desaceleração (DT) 120 - 230 ms > 230 ms 120 - 230 ms < 120 ms
TDI relação e'/a' 0,5 - 1,8 < 1,0 Variável Variável
Relação E/e' (VD) < 6,0 N/A > 6,0 > 6,0
Veia hepática (S/D) ≥ 1 ≥ 1 < 1 < 1
Predomínio diastólico (veia hepática) Não Não Sim Sim
IVRT do VD ≤ 73 ms > 73 ms Variável Variável
Ecocardiografia 3D Normal Anormal / Disfunção
FEVD 3D (Fração de Ejeção) > 45% < 45% (Disfunção sistólica)
Volume Diastólico Final Indexado (RVEDV) < 90 mL/m² > 90 mL/m² (Dilatação VD)
Volume Sistólico Final Indexado (RVESV) < 41 mL/m² > 41 mL/m² (Disfunção/Dilatação)
Pontos importantes para interpretação:
1) Integrar parâmetros estruturais: volume do AD indexado ≥ 30 mL/m² ou espessura da parede do VD ≥ 0,5 cm sugerem disfunção diastólica/remodelamento adverso.
2) Relação E/e' tricúspide > 6 sugere pressões de enchimento do AD elevadas.
3) Medidas diastólicas do VD são dependentes de pré-carga, frequência cardíaca, idade e respiração.
4) A disfunção diastólica do VD pode ser marcador precoce de doença subclínica.
5) Preferir aquisição no final da expiração e média de pelo menos 5 batimentos consecutivos.
🚨 Sinal de McConnell (Embolia Pulmonar Aguda)

🫀 Definição do Sinal

O Sinal de McConnell é um achado ecocardiográfico altamente específico para embolia pulmonar aguda (TEP), caracterizado por:

Parede Livre do VD

Hipocinesia ou Acinesia
(Movimento reduzido ou ausente nos segmentos basal e médio)

Ápice do VD

Movimento Preservado ou Hipercinético
(Contração apical normal ou aumentada - "poupa o ápice")

🎯 Valor Diagnóstico

• Especificidade: 94-100% para TEP aguda

• Sensibilidade: 77% (presente em 2/3 dos casos de TEP com disfunção de VD)

• Importante: Quando presente, é um forte preditor de TEP, mas sua ausência NÃO exclui o diagnóstico

🔬 Como Avaliar

  • Janela Apical 4 Câmaras: Observar o movimento da parede livre do VD
  • Avaliar segmentação: Basal e médio (hipocinéticos) vs. Ápice (preservado/hipercinético)
  • Modo M ou 2D: Comparar excursão sistólica dos diferentes segmentos
  • TAPSE: Frequentemente reduzido (≤ 17 mm) em TEP com disfunção de VD

🎬 Vídeo Demonstrativo

▶️ Fonte: Canal Cardio.lógico (YouTube)

📖 Referência Científica: McConnell MV, Solomon SD, Rayan ME, Come PC, Goldhaber SZ, Lee RT. Regional right ventricular dysfunction detected by echocardiography in acute pulmonary embolism. Am J Cardiol. 1996;78(4):469-473.

⚠️ Diagnóstico Diferencial

Importante: O Sinal de McConnell é característico de TEP aguda e geralmente NÃO é visto em hipertensão pulmonar crônica, que tipicamente cursa com hipocinesia difusa de toda a parede livre do VD (incluindo o ápice).

📌 Importante
A avaliação do ventrículo direito deve ser multiparamétrica, considerando dimensões, função sistólica e pressões. A combinação de TAPSE, velocidade da onda S' e FAC fornece uma avaliação abrangente da função do VD. Em caso de dúvida ou valores limítrofes, considere avaliar o strain da parede livre do VD.
📚 Referências Bibliográficas

📘 Diretriz Principal (ASE 2025)

Mukherjee M, Rudski LG, Addetia K, Afilalo J, D'Alto M, Freed BH, et al. Guidelines for the Echocardiographic Assessment of the Right Heart in Adults and Special Considerations in Pulmonary Hypertension: Recommendations from the American Society of Echocardiography. J Am Soc Echocardiogr. 2025;38(3):141–186.

🔗 DOI (Link Permanente):

https://doi.org/10.1016/j.echo.2025.01.006

ℹ️ Sobre esta diretriz: Esta é a atualização de 2025 da diretriz ASE que substitui as recomendações de 2010. Inclui novos critérios para hipertensão pulmonar (PMAP > 20 mmHg), classificação de gravidade atualizada, parâmetros de função diastólica do VD, acoplamento VD-Artéria Pulmonar e recomendações para ecocardiografia 3D.

🚨 Sinal de McConnell (TEP Aguda)

McConnell MV, Solomon SD, Rayan ME, Come PC, Goldhaber SZ, Lee RT. Regional right ventricular dysfunction detected by echocardiography in acute pulmonary embolism. Am J Cardiol. 1996;78(4):469-473.

ℹ️ Nota: Esta é a referência clássica que descreve o sinal ecocardiográfico característico de TEP aguda (hipocinesia de parede livre do VD com preservação do ápice). A diretriz ASE 2025 não cobre especificamente TEP agudo.

💡 Os valores de referência e classificações de gravidade são baseados na diretriz ASE 2025. O Sinal de McConnell é referenciado pelo estudo original de 1996.